-
|
Dear BrainVISA experts, I am a new Brainvisa user and I'm working on the Brainvisa 5.0 on a linux system. I have already run the (default) morphologist 2021 pipeline in some databases but I am trying in a new one and the following error appears in the Histogram analysis step: I tried changing some parameters in T1 bias correction (sampling, field_rigidity and mode) but the error remains. Can someone help me? Thanks!! Carmen |
Beta Was this translation helpful? Give feedback.
Replies: 7 comments 1 reply
-
|
Hello, |
Beta Was this translation helpful? Give feedback.
-
|
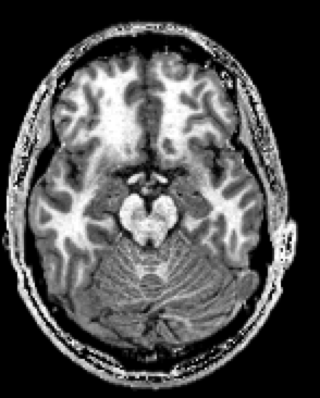
Hi, This happens with all the images in the database. I attach a screenshot of a view of the MRI. Attached is also a screenshot of the process. Sometimes it gets stuck either directly in bias correction or already in the histogram analysis step. Thanks, |
Beta Was this translation helpful? Give feedback.
-
|
Would it be possible to send me an image, so that I can try it ? |
Beta Was this translation helpful? Give feedback.
-
|
Hi Denis, Thank you very much for the offer. As this is a database of real patients, I have spoken to my supervisor so that we can send it to you. He will be the one to provide it to you. Best regards, |
Beta Was this translation helpful? Give feedback.
-
|
Do you have a means to send it to me ? I don't like to write email addresses on the web (to avoid spam bots), but I don't really see anther convenient way, so if needed I'll write it here later. |
Beta Was this translation helpful? Give feedback.
-
|
Don't worry, you don't need to write it down, through your published work we can get your mail. Thank you very much! |
Beta Was this translation helpful? Give feedback.
-
|
OK, I have seen the image, and actually yes, there is a problem with the bias correction step, which completely fails to determine the region it focuses on. This is due to a signal/noise calculation which compares noise in the center of the image (brain) and near the corner (background). However when the background is completely black (no noise because of a removal of data), then it fails. This is a weakness in Morphologist that we should fix, but hasn't yet. |
Beta Was this translation helpful? Give feedback.


OK, I have seen the image, and actually yes, there is a problem with the bias correction step, which completely fails to determine the region it focuses on. This is due to a signal/noise calculation which compares noise in the center of the image (brain) and near the corner (background). However when the background is completely black (no noise because of a removal of data), then it fails. This is a weakness in Morphologist that we should fix, but hasn't yet.
There is a simple solution to this problem: add a small gaussian noise to the input data. You can do it using the process in brainvisa: "Tools/misc/Add gaussian noise to data": use the raw T1 MRI as both input and output, and set a s…